발은 제2의심장이라고 불릴 정도로 중요시되는 역할을 합니다. 항상 혹사당하는 우리의 발인데요, 여자이들에게서 많이 발생되는 질병이 바로 무지외반증입니다. 초기에 바로잡지 않으면 극심한 상태로 발전할 수 있기 때문에 주의가 필요합니다. 무지외반증에 대해 알려드리도록 하겠습니다.



무지외반증이란
엄지발가락이 두번째 발가락 쪽으로 과도하게 휘고 엄지발가락과 관절을 이루는 중족골은 반대로 안쪽으로 치우치는 변형 되며 발가락이 발등 쪽으로 휘거나 회전(엄지발가락 축을 중점으로 내측으로 회전; 회내)하는 변형을 동반한 삼차원적인 변형을 말합니다.
무지외반증으로 인하여 변형이 심해지면 엄지발가락이 두 번째 발가락과 겹치거나 관절이 탈구되어 전반적으로 디디기 어려운 발이 되기도 합니다. 건강보험심사평가원의 무지외반증 환자 통계를 보면, 세대별로는 40대 이상에서 가장 많으며 성별로는 무지외반증 여성 환자 비율이 남성보다 월등하게 높았다고 합니다.
무지외반증 원인
1. 무지외반증 원인 - 선천적인 원인
무지외반증 원인 중 선천적인 원인이 되는 경우 유전적인 이유 때문에 발생합니다. 원발성 중족골 내전증, 평발이거나 발볼이 유달리 넓은 발인 경우에는 과도하게 유연한 발일 경우에 잘 나타나게 되는데요 모계 유전의 확률이 높기 때문에 엄마가 증상을 겪고 있으면 약 60~70%가 증상이 생긴다고 합니다. 이는 류마티스 관절염으로 인한 합병증이나 통풍이 원인이 되기도 합니다.



2. 무지외반증 원인 - 후천적인 원인
대개는 후천적인 이유로 발생하게 되는데 바로 굽이 높은 하이힐을 신거나 볼이 좁은 신발을 오래 신는 경우에 잘 발생하고 엄지발가락에 지속적이고 반복적인 힘이 가해지게 되면서 발가락 변형이 발생하게 되어요. 불편한 신발을 수시로 신는 사람은 그렇지 않은 사람에 대조해 나타날 확률이 16배나 높다고 하는데, 무지외반증에 직접적 여파를 미치는 만큼 편한 신발을 신는것이 좋을듯 합니다.
무지외반증 증상
육안상으로 확연하게 엄지발가락 과 같은 변형 보이며 초기에는 굳은살도 관찰되고 약간의 통증도 있습니다. 엄지발가락 돌출 부위의 통증으로 이 부위가 신발에 자극을 받아 두꺼워지고 염증이 생겨 통증이 발생합니다. 휘어지지 않은 발바닥에 굳은살로 인해 정상 보행이 어렵고 심한 경우 통증으로 인하여 신발 착용은 물론 정상 보행도 어려워집니다. 연속적으로 증상이 악화되면 엄지발가락이 겹쳐지거나 탈구 될 수도 있습니다.
엄지발가락이 옆으로 휘어 관절에 비정상적인 힘이 가해져 퇴행성 관절염이 생길 수 있죠. 그리고 엄지발가락이 지지해야 할 발바닥 압력이 2, 3번째 발가락으로 옮겨지면서 발바닥 쪽에 굳은살이 발생할 수 있고 발가락 뼈 사이의 신경이 붓고 통증이 나타나는 지간신경종이 합병될 수도 있습니다.



무지외반증 치료법
보존적 요법은 변형이 심하지 않은 경우 먼저 고려되는 치료법입니다. 굽이 높고 신발코가 뾰족한 신발을 피하고, 편한 신발을 착용해 발의 압박을 최소화시켜요. 신발 안에 중족골 패드나 발가락교정기 등 교정 도구를 착용해 압력을 재분배해서 증상을 완화시켜요. 그리고 보존적인 요법으로 증상이 완화되지 않거나 통증이 무척 심한 경우 수술이 고려되어요.
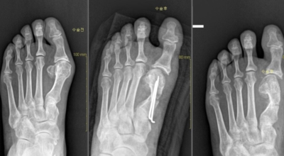
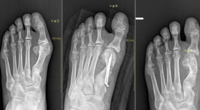
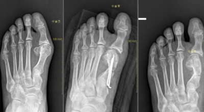
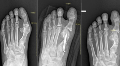
초기 단계에서는 건막류(두꺼운 혹)를 절제하는 건막류절제술을 시행해요. 돌출된 건막류를 절제해서 각을 교정하고 짧아진 근육 또는 연부조직을 늘려주는 비교적 간단한 수술입니다. 다른 발가락의 변형이 동반되거나 뼈의 과잉성장이 심하면 뼈를 깎고 방향을 돌린 뒤 발가락이 똑바로 펴지도록 철사로 고정시키는 등 교정절골술을 시행해요. 양 발이 모두 변형된 경우 대부분이 한 번에 한쪽만 수술해요.
무지외반증 교정기
무지외반증 교정 보조기같은 경우는 뼈의 변형이 상당부분 진행된 상태에서는 단순히 교정기 활용만으로는 치료가 되지 않습니다. 개인의 사정,환경적인 사정등으로 기인해서 즉각 조치하지 못하는 상황에서 변형된 부분을 지연시키는 목적으로 사용되는 치료 방법이라 치료의 목적으로 활용하기에는 적합하지 않습니다.



무지외반증 완화 운동
1. 발가락으로 물건 잡기
엄지발가락과 두 번째 발가락을 활용하여 작은 물건들을 잡아보세요. 작은 공, 블록, 종이, 구슬 등 다양한 물건을 발가락을 활용해 잡는 연습을 합니다. 이 운동은 발가락의 인대를 강화하여 엄지발가락이 휘는 증상을 이완시켜주기 위해 하는 동작입니다.
2. 발로 수건 말아쥐기 운동
수건만 있다면 앉아서 가능한 간단한 운동입니다. 먼저 수건을 바닥에 넓게 펴주시고, 수건의 끝부분을 뒤꿈치로 고정합니다. 그런 다음 발가락을 활용하여서 수건을 움켜쥐을 만큼 당겨서 말아주시면 됩니다. 발가락 근육의 힘을 키우는데에 좋답니다. 이렇게 5번씩 3세트정도 하는 편이 좋아요.
3. 발가락 벌리기 운동
발가락 사이에 단단한 고무줄을 끼워놓고 엄지발가락을 벌리는 연습을 해보세요. 처음에는 발가락 벌리는 동작이 잘 안될 수 있겠지만 연습하게 되면 발가락 근육에 힘이 생길 것으로 보입니다. 단순히 벌리는것이 아니라 엄지발가락이 벌어지는 것에 더 집중해보세요. 엄지발가락을 벌리는 힘이 약하게 되면 발바닥 힘을 쓰면서 쥐가 날 수 있기 때문에 풀어주시고 연습의 과정이라고 생각하시고 지속적으로 해보시면 괜찮을 듯 합니다.



무지외반증 예방법
발볼이 좁은 신발이나 굽이 높은 신발을 신은 시간이 길수록 유병률이 더욱더 올라가기 때문에 발가락 부위가 넓고 굽이 낮은 신발을 착용하는 것이 좋으며, 평발인 경우 발바닥 안쪽을 지지해 주는 안창을 활용하는 것이 도움이 돼요. 다만 굽이 지나치게 낮은 신발은 쇼크을 완화해 주는 쿠션 역할이 이루어지지 않아서 피하며, 자신의 발에 맞는 편한 신발을 선택해서 피로도를 줄이는 것이 바람직합니다.
무지외반증에 대해 알아봤어요. 위 내용 바탕으로 건강에 항상 힘써보시기 바랄게요. 방문해 주셔서 감사드리겠습니다.
간에 좋은 음식 10 추천 리스트
간은 소화관의 일부가 잘록해져서 발생한 일종의 선입니다. 몸의 오른쪽으로 약간 치우친 곳에 위치하고, 윗면은 횡격막 아랫면은 위, 십이지장, 횡행 결장 등에 접해져 있습니다. 호르몬 대사,
vinachillan.com
계란찜 맛있게 하는법 뚝배기 & 전자렌지
결혼 후에 당황했던 것이 쉽다고 생각한 계란찜을 할때마다 매번 실패한 것으로 보입니다. 나름의 노하우가 필요하더라구요. 방법만 알아두면 그 다음부턴 매우 쉬워요. 요즘엔 마땅한 반찬 없
vinachillan.com